症例の紹介
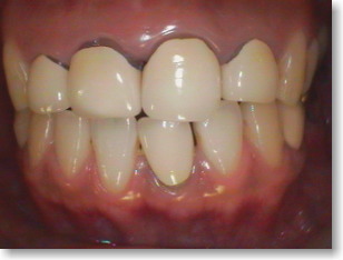
Aさん治療前 Aさん治療後
Aさん 治療前 Aさん 治療後
Bさん治療前 Bさん治療後
Bさん 治療前 Bさん 治療後


このページはブラウザの『閉じる』で閉じてください
 今岡歯科

〒794-2303
愛媛県今治市伯方町伊方甲1933-1
電話 0897-74-0418  Fax 0897-74-0461

 休診日:水曜午後. 日曜. 祝祭日

 
 Copyright (C)2006 今岡歯科 All Rights Reserved.